Notizie
30
Giu

Caso Clinico - Puntata 3

Per concludere il paziente si troverà il giorno dell’intervento ad essere sedato, cioè verrà assistito da un anestesista rianimatore che lo terrà in uno stato di relax tale che non avrà il minimo stress durante l’esecuzione dell’intervento, in questo modo il clinico potrà tranquillamente eseguire tutte le sue fasi operatorie concentrandosi esclusivamente sull’intervento, a questo punto il chirurgo potrà iniziare la fase operativa, estrarrà i denti, monterà la dima, che guiderà all’inserimento degli impianti, applicherà il provvisorio con le informazioni raccolte prima dell’intervento e dimetterà il paziente.
Il paziente si troverà ad avere una protesi fissa provvisorio avvitata sugli impianti, avendo subito un intervento minimante invasivo avrà pochissimi fastidi nei giorni a seguire. 



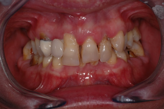
Fig.1 Caso clinico iniziale la paziente necessita di una riabilitazione implanto protesica superiore totale, si dovranno estrarre tutti i denti e consegnare nella stessa giornata un provvisorio fisso che abbia anche una estetica iniziale accettabile




Fig.2 Attraverso il software visto nelle altre puntate è possibile sviluppare un modello del paziente con gli impianti già inseriti ed ottenere una dima di inserimento che ci guiderà ad inserire gli impianti nel cavo orale del paziente nella stessa posizione decisa virtualmente.







Fig.3 e 4  In questo modo possiamo costruire un provvisorio in resina che abbia già delle informazioni sull’estetica finale desiderata dal paziente

 



(Cliccare qui per tornare alla Puntata 1)

I cookie rendono più facile per noi fornirti i nostri servizi. Con l'utilizzo dei nostri servizi ci autorizzi a utilizzare i cookie.
Maggiori informazioni Ok